Smile Gallery

Real Patients, Real Smiles

Beautiful Smiles Created in Burbank, CA

Every smile has a story. Explore before-and-after photos of real Coastland Dental Burbank patients who have transformed their smiles with veneers, crowns, implants, bonding, whitening, and more. From subtle refinements to full makeovers, each case is carefully planned for natural-looking, lasting results. See how modern dentistry restores confidence, harmony, and function—one smile at a time.

See the Difference, Imagine What’s Possible

Our Smile Gallery highlights what’s achievable with advanced dentistry and compassionate care. If you’ve been considering enhancing your smile, these results can give you a clear picture of what to expect.

Call (818) 938-2224 to schedule your consultation at Coastland Dental Burbank, and let’s start planning your own before-and-after story.

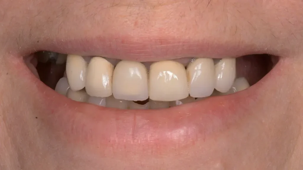
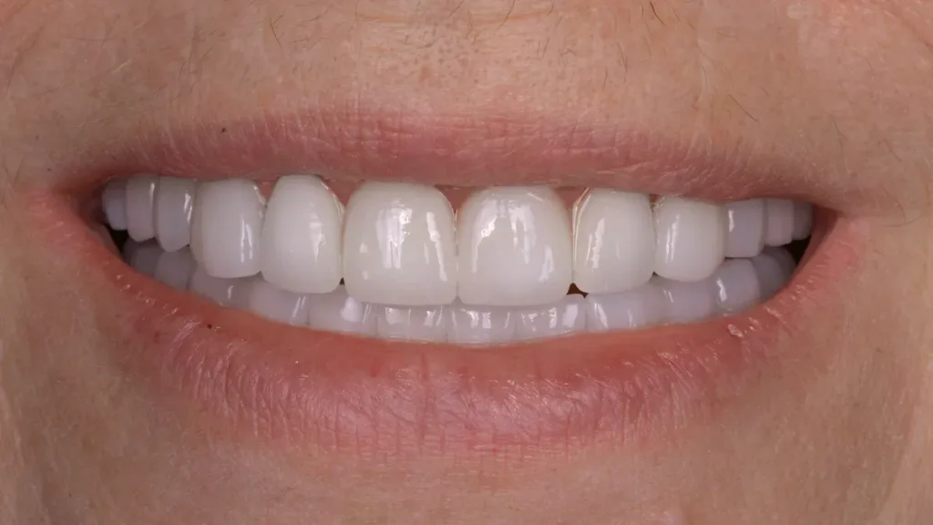
Full Mouth Restorations

IMG
Before After
Before After
Before After
Before After
Before After
Before After

Crowns & Bridges

Before After
Before After
Before After
Before After
IMG

Full-Service Care, All in One Location

Porcelain Veneers
Dental Implants
Full Arch Implants
Dental Crowns
Invisalign®
Smile Makeovers
Cosmetic Dentistry
Root Canal Therapy
Periodontal Treatment
Teeth Whitening
Dental Implant Success Rate
0%
Happy Patients and Counting
0

We Make Dentistry Affordable

Flexible Payment Options
Get started in minutes with no impact on your credit—plus take advantage of 0% APR financing for up to 12 months through providers like CareCredit, Sunbit, Lending Club and Alphaeon.

✔ Quick approval process
✔ Soft credit check only—no effect on your score
✔ Apply funds to any dental service

Click below to check your eligibility—completely risk-free.

“No credit damage when applying.”

Get in Touch

Name(Required)
Please let us know what's on your mind. Have a question for us? Ask away.

Affordable Dental Financing with 0% Interest

LIFETIME WARRANTY: At Coastland Dental, we stand behind the quality of our work with warranties tailored to your specific treatment. Our fixed hybrid prosthetics include a Lifetime Warranty, provided you maintain your recommended hygiene visits and ongoing care. For crowns and other fixed restorations, we offer a 5-year warranty as long as you keep up with regular exams, cleanings, and any dentist-recommended maintenance.

To stay eligible for warranty protection, you’ll need to complete all suggested maintenance at the intervals outlined by the provider or manufacturer. Failure to follow and document routine care could lead to reduced or voided coverage. Proof of service may be required if a claim is submitted.

At Coastland Dental, we believe high-quality care should be accessible to every patient. To make treatment more affordable, we partner with trusted financing providers including CareCredit, Sunbit, LendingClub, and Alphaeon Credit. These programs offer flexible monthly payments, quick approvals, and options with low or even 0% interest (subject to approval).

  • Apply with a soft credit check—no impact on your score

  • Fast approval process, often the same day

  • Plans available to fit a variety of budgets

  • Financing options for nearly all dental services

From implants and crowns to cosmetic treatments and smile makeovers, our financing options are designed to help you move forward with your care—without delay.

No Impact to Credit

Make your first appointment stress-free

GET IN TOUCH

Schedule Your Visit Today!

Let’s bring out the best in your smile—with the technology, experience, and care you deserve.

At Coastland Dental in Burbank, advanced tools mean better care. By investing in the latest dental technology, we diagnose with greater accuracy, treat with more precision, and help you achieve a healthier, more beautiful smile—often with less discomfort along the way.

(818) 938-2224

Call Us Today

Excellent!!! My procedure for my cavity went smoothly. I will continuously come to this establishment.

V. Bianca Leivers Burbank

Everyone was helpful and considerate, Dr Kevin was very clear and gave me a second opinion on him, it was very thorough and easy to understand.

Patsy S. Burbank

Schedule Online

coastlandoutline-tooth
Name(Required)
Please let us know what's on your mind. Have a question for us? Ask away.
IMG

New Patient Special

Starting at Only $189

  • Comprehensive full dental check up exam
  • Full mouth digital xrays or 3D CBCT digital xray
  • Regular cleaning (depending on the health of your gums)